Akciğer kanseri için belirli kişilerde yıllık tarama şart
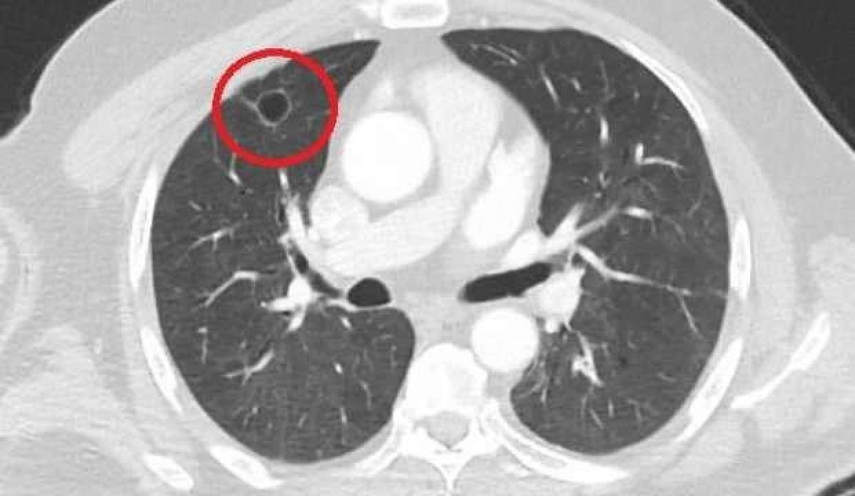
Akciğer kanseri halen tüm dünyada en yaygın ikinci kanser olup en ölümcül tür olarak öne çıkıyor. Hastalığın en büyük risk ...
Akciğer kanseri halen tüm dünyada en yaygın ikinci kanser olup en ölümcül tür olarak öne çıkıyor. Hastalığın en büyük risk ...
Sigara dünyada yılda yaklaşık 5 milyon kişinin ölümüne sebep oluyor.
MALATYA (AA) - Malatya İnönü Üniversitesi Turgut Özal Tıp Merkezi, akciğer kanserinde kapalı yöntemle ameliyatta 500. hastaya ulaştı. Turgut ...
MALATYA (İHA) - Akciğer kanserinde erken tanı hayat kurtarıyor TÖTM'de kapalı yöntemle yapılan akciğer kanseri operasyonu sayısı 500'e ulaştı ...
MALATYA (İHA) - Akciğer kanserinde erken tanı hayat kurtarıyor TÖTM'de kapalı yöntemle yapılan akciğer kanseri operasyonu sayısı 500'e ulaştı ...
Gaziantep'te akciğer kanserine karşı top yekun mücadele Akciğer kanserinin tanı, teşhis ve tüm tedavi aşamaları Medical Park Gaziantep Hastanesi ...
Kent dışında çalışan N.T.'nin, göğüs ağrısı şikayetiyle gittiği hastanede çekilen tomografisinde sağ akciğerinde 4 santimetre çapında tümör ...
Akciğer kanseri, akciğer dokularından kaynaklanan bir kanser türüdür. Akciğer kanseri insidansı dünya çapında istikrarlı bir şekilde artmakta ve ...
Akciğer kanseri, akciğer dokularındaki hücrelerin kontrolsüz çoğaldığı bir hastalıktır. Son zamanlarda ülkemizde ve tüm dünyada artan kanserlerin ...
Kartepe haberleri, en güncel flaş haberler, Kartepe ve dünya haberleri, video ve galeriler kartepebulteni.com adresinde.
Kartepe Haberleri »
© 2019/2023 Kartepe Bülteni - Tüm hakları saklıdır NetMedya.